Spreizfuß

Auch diese Deformität operieren wir fast ausschließlich über Minizugänge von 2 bis 3 Millimeter Länge. Dadurch kommt es zu weniger Schmerzen, weniger Schwellungen. Narben bleiben nahezu keine zurück. Diese Operationen können sofort belastet werden.

Metatarsalgie, Ballenschmerzen, durchgetretener Spreizfuß

Durch nachlassendes Bindegewebe, Überlänge von Mittelfußknochen oder auf Grund anderer biomechanischer Faktoren können im mittleren und höheren Lebensalter starke Schmerzen am Fußballen auftreten. Wenn die konservative Behandlung mit Spezialeinlagen und anderen Maßnahmen nicht hilft, bleibt oft nur die Operation.

Ziel der Operation ist es, die Mittelfußköpfchen durch Verkürzung des Mittelfußknochens aus der Belastungszone zu bringen.

Was wir nicht machen, weil die Nachteile überwiegen:

Üblich und sehr verbreitet ist die so genannte Operation nach Weil.

Dabei wird ein Knochenschnitt durch das Mittelfußköpfchen gelegt und dieses parallel zur Fußsohlenebene fersenwärts verschoben und damit der Mittelfußknochen verkürzt (Abb).

Die Operation hat bestimmt auch ihr Gutes, sie ist schnell durchgeführt und hilft, die Ballenschmerzen zu beseitigen.

ABER:
Es wird gesundes Knorpel-Knochengewebe geopfert, mitten in das Zehengrundgelenk kommt unweigerlich eine Stufe und somit kann früher oder später (ev. erst nach Jahren) eine Bewegungseinschränkung und Arthrose, also Gelenkverschleiß entstehen.

Hier ein Beispiel:

Doch selbst die einwandfrei durchgeführte Weil-Operation führt zwangsläufig durch den Schnitt durch gesundes Knorpel-Knochengewebe zu Problemen, Bewegungseinschränkungen und Arthrosen.

Was wir machen: Modifiziertes Verfahren - DMO

Aus diesem Grund habe ich seit 2005 ein modifiziertes Verfahren der Mittelfußknochenverkürzung entwickelt, das den Knochenschnitt erst hinter dem Knorpelbereich ansetzt. Die Operation heißt DMO, distale Metatarsalosteotomie.

Durch einen ausgeklügelten Knochenschnitt, der alle wichtigen Strukturen schont, gelingt es, die notwendige Mittelfußparabel (Alignment) wiederherzustellen, ohne gesundes Knorpel- und Knochengewebe opfern zu müssen und ohne im Gelenk eine Stufe zu hinterlassen.

Diese Knochenschnitte können nicht "freihändig" durchgeführt werden. Wir haben daher exakte Schnittlehren entwickelt, mit denen diese Schnitte mühelos und präzise gelingen. Fixiert werden sie mit unserer V-tek-Schraube.

Ein Beispiel:

Spreizfuß Röntgenaufnahme

Links: Zu langer 3. Mittelfußknochen, Schmerzen und Schwielenbildung. Bitte beachten Sie die "Beule" am 2. Mittelfußknochen: Durch die schlechte Hallux-Operation kam es zur Überlastung der Mittelfußknochen. Der 2. ist gebrochen und hat selbst das Problem "behoben". Der 3. blieb aber ganz und schmerzte weiter.

Rechts: Nach Verkürzung am Mittelfußknochen III sehr bald schmerzfrei, die Schwiele an der Fußsohle geht zurück.

Weiteres Beispiel:

Eingezeichneter "Mittelfußindex" (oder Parabel oder Alignment)

Links: Die Mittelfußknochen II und III und IV sind zu lang und bilden nicht die notwendige Parabel, die Folge sind Überlastungen, Schmerzen und Schwielen im Ballenbereich.

Rechts: So soll es sein: Nach der Operation ist der 1. Strahl (Mittelfußknochen) der Längste, der 2. ist etwa gleich lang oder etwas kürzer, der 3. wieder etwas kürzer, usw.

Behandlung Spreizfuß

Die Schmerzen und Schwielen verschwinden bereits nach kurzer Zeit.

Links: Vor der OP / Rechts: Nach der OP

Weiteres Beispiel:

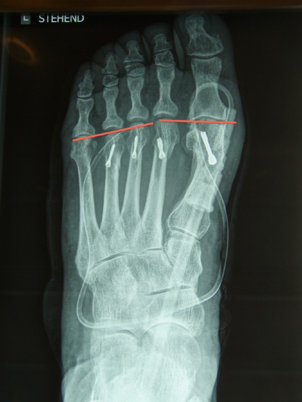
Spreizfuß Röntgenaufnahme

Nach einer andernorts unsachgemäß durchgeführten Hallux-Operation mit Verkürzung des 1. Mittelfußknochens kam es zur relativen Überlänge des 2., 3. und 4. Knochens, sichtbar gemacht mit den gelben Linien. Die Patientin litt an massiven Spreizfußbeschwerden, die mit konservativen Mitteln nicht beherrschbar waren. Daher musste eine weitere Operation durchgeführt werden.

Die roten Striche zeigen die geplanten Verkürzungen bei der Reparaturoperation.

An beiden Füßen mussten Verkürzungen der Mittelfußknochen gemacht werden. Die Parabel wurde erreicht, und die Spreizfußschmerzen verschwanden nach kurzer Zeit.

Dr. Michael Vitek