Oberer Fersensporn

Auch diese Deformität operieren wir fast ausschließlich über Minizugänge von 2 bis 3 Millimeter Länge. Dadurch kommt es zu weniger Schmerzen, weniger Schwellungen. Narben bleiben nahezu keine zurück. Diese Operationen können sofort belastet werden.


Der obere Fersensporn liegt im Ansatzbereich der Achillessehne. Knapp darüber befindet sich ein eventuelles hohes Fersenbein (Calcaneus altus).

Der obere Fersensporn macht eher selten Beschwerden. Diese werden meist von zu enger Fersenkappe im Schuh verursacht, die dann zu viel Druck auf die Ferse aufbaut. Es folgen Entzündungen, Reizzustände und Schmerzen. Hohes Fersenbein und oberer Fersensporn kommen häufig gemeinsam vor.

Behandlung

Die Therapie beginnt immer konservativ mit Schuheinlagen, eingeklebten, weichen Fersenkappen, entzündungshemmenden Medikamenten, Röntgenbestrahlungen, eventuell Infiltrationen und Stoßwellentherapie.

Sollte diese Behandlung nicht helfen, wird der Sporn operativ entfernt. Seit einiger Zeit machen wir auch diese Korrektur minimal invasiv, also durch 2 oder 3 winzige Stiche von jeweils etwa 2 mm.

Nachbehandlung

Gelingt es, den oberen Fersensporn zu entfernen ohne einen Defekt in die Achillessehne setzen zu müssen, kann der Fuß sofort belastet werden. Müssen Achillessehnenfasern aber abgelöst werden, ist eine Entlastung mit Krücken zwischen 3 und 8 Wochen notwendig.

Sport- und Arbeitsfähigkeit

Bürotätigkeit nach 2 Wochen. Je nach Defektgröße in der Achillessehne kann belastender Sport und schwere körperliche Tätigkeit nach etwa 4 bis 12 Wochen begonnen werden.

Ergebnisse

Über 90% der Patienten verlieren nach der Operation ihre Schmerzen.

Komplikationen

Inkomplette Entfernung mit weiter bestehenden Schmerzen. Eventuell könnte zu viel Sehnengewebe entfernt werden und die Sehne könnte reißen (ist bei uns nie vorgekommen).

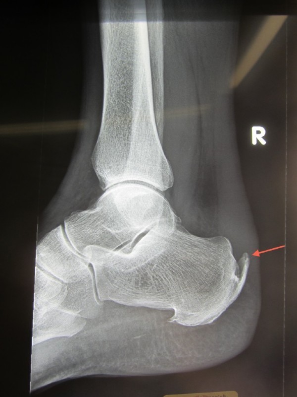
Beispiel:

Bild 1: Massive Schmerzen in der Ferse. Die Schwellung lässt auf ein hohes Fersenbein schließen.

Bild 2: Im Röntgen zeigt sich neben dem hohen Fersenbein aber ein großer oberer Fersensporn, der vermuten lässt, dass die Achillessehne zumindest einen Teilriss aufweist.

Bild 3: Im MRT sieht man tatsächlich eine Teilruptur der Achillessehe.

Bild 4: Nach der OP: Der obere Fersensporn wurde entfernt und auch das hohe Fersenbein begradigt. Da der Sporn mitten in die Achillessehne ragte, waren Achillessehenfasern abgerissen und zusätzlich musste die Sehne auch noch etwas abgelöst werden. Die Rekonstruktion der Achillessehne erfolgte mit einem Knochenanker und starken Nähten.

Dr. Michael Vitek