Dank von Patienten

Im Jänner 2026 schrieb eine Patientin:

Bedingt durch meine Rheumatoide Arthritis hatte sich ein starker Hallux Valgus in meinem linken Fuß ausgebildet und alle Zehen extrem verformt. Dadurch war kein schmerzfreies Gehen mehr möglich und ich war sehr verzweifelt. Im Internet stieß ich dann auf die Webseite von Dr. Vitek https://www.halluxvalgus.at. Die dort aufgeführten Ergebnisse seiner Operationstechniken haben mich sofort begeistert und veranlasst, einen Untersuchungstermin in Wien mit ihm zu vereinbaren. Ich fühlte mich sofort bei ihm bestens aufgehoben und hatte starkes Vertrauen in seine Arbeit. Die äußerst komplexe Operation fand dann in Wien in der Privatklinik Döbling statt. Bereits nach 4 Tagen konnte ich die Klinik schmerzfrei verlassen. Das Ergebnis der OP war phantastisch! Die Nachsorge wie Verbandswechsel und das Ziehen der Fäden fand in der Praxis von Dr. Vitek statt. Ich kann mich nur beim gesamten Team von Dr. Vitek und seiner Frau ganz herzlich bedanken. Dr. Vitek ist ein wirklich äußerst kompetenter Chirurg und ein sehr sympathischer und einfühlsamer Mensch. 

Im Jänner 2025 schrieb Frau Patricia Kalkus folgende Bewertung über ihre Fuß-OP:

Ich habe bei Prof. Dr. Vitek eine äußerst komplexe Operation mit Zehen- und Schaftkürzung an beiden Füßen durchführen lassen. Ich bin mit der gesamten Betreuung und Nachbehandlung sowie mit dem Ergebnis höchst zufrieden.

Dr. Vitek ist ein äußerst kompetenter Chirurg, macht wunderschöne Nähte und ist auch menschlich top! Auch seine Gattin ist äußerst einfühlsam und liebenswürdig. Ein großes Lob an Dr. Vitek‘s Team. Mir wurde mein Lebenstraum von kleinen Füßen erfüllt! Ich bin wirklich sehr dankbar und kann nur meine absolute Empfehlung aussprechen. Vielen Dank!

Im August 2023 schrieb Frau Silke Kessler folgende Bewertung über ihre Hallux-OP:

Meine Hallux OP ist jetzt viereinhalb Monate her. Ich bin absolut begeistert, hab mich von Anfang an sehr gut aufgehoben gefühlt. Ich kann nach Jahren endlich wieder schmerzfrei gehen, was vor allem in meinem Beruf so furchtbar war. Ich möchte mich nochmals bei Herrn Dr. Vitek und seinem gesamten Team bedanken.

Im März 2021 schickt Patientin S.R. ein Bild ihrer ersten Schritte in High Heels 12 Wochen nach der OP eines Hallux rigidus (Arthrose, steife Großzehe):

Die ersten vorsichtigen Schritte 😊 Einfach unglaublich, herzlichen Dank❣️

Zwei Patientinen aus der Schweiz, die am selben Tag eine umfangreiche Fußkorrektur bekamen schreiben im Feb. 2021:

Sehr geehrter Herr Dr. Vitek

Die Großzehe können wir sehr gut Bewegen. Bei beiden lässt sich eine kleine Zehe nicht bewegen, sind wir aber täglich am trainieren.

Schmerzen nicht, eher so ein Druckgefühl beim laufen und halt noch geschwollen. Die Narben sehen auch alles sehr gut aus.

Wir sind sehr zufrieden und werden Ihnen eine gute Bewertung schreiben und Sie auch gerne weiterempfehlen.
Herzlichen Dank für alles.

Herr D.L schreibt nach der percutanen OP (durch 2-3 mm Stiche) des hohen Fersenbeines:

Liebe Grüße, herzlichen Dank für Ihre geniale Operation und alles Gute!

Frau Siedl schrieb per SMS

Sehr geehrter Herr Dr.Vitek! Ein Jahr geht schon wieder dem Ende zu und ich möchte mich wie jedes Jahr bei Ihnen für die perfekte Op beider Halux bedanken. Es geht mir blendend und das verdank ich Ihnen. Geruhsame Feiertage Ihre Berghild Siedl🎄

Von meinem iPhone gesendet

Herr Dr. Z. schreibt auf docfinder

Eine offene diabetische Wunde quaelte mich jahrelang.Prof.Dr.Vitek machte eine hallux- valgus OP und das Loch ging zu.Ich bin ihm ewig dankbar.

Frau S. schreibt auf docfinder

HALLUX OP

Subjektiver Bericht von gewissen74 vom 11.08.2016

Hatte im Okt.2015 eine ambulante beidseitige Hallux OP (Winkel < 14°). Herr Dr. Vitek hat sich stets ausreichend Zeit für meine Fragen genommen und mir die bevorstehende OP genauestens erklärt. Die Stimmung war immer positiv, freundlich und humorvoll. Ich habe mich jederzeit verstanden und gut beraten gefühlt. Die OP dauerte nicht einmal eine Stunde und war nicht schlimm. Man spürte die Injektionen in die Füße, der Einstichschmerz war aber erträglich! Bin sofort nach der OP aufgestanden und für weitere 3 Stunden in einen Raum zur Beobachtung gekommen. Erste Wundschmerzen stellten sich ca. 6 Stunden nach der OP ein und waren - das muss man offen zugeben - wirklich höllisch. Parkemed 500 hat Wunder gewirkt. Die 1. Nacht war schlimm, am 3. Tag war ich weitgehend schmerzfrei. 2. Woche konnte ich gut mit Krücken gehen, 3. Woche nach der OP ging ich bereits arbeiten (langsamen Schrittes ohne Krücken und im Büro Beine hochlagernd). Komplett schmerzfrei (auch bei Belastung) und einschränkungsfrei waren meine Füße bereits im Dezember. Die Schnitte an beiden Füssen sind knapp 7 cm lang und kaum zu sehen. Das Ergebnis ist wunderbar, kann Dr. Vitek nur wärmstens weiterempfehlen!

Pat. B. schreibt auf docfinder

HALLUX OPERATION

Subjektiver Bericht von einem registrierten Nutzer vom 03.05.20152


Kann Dr. Vitek sehr empfehlen, die beidseitige Hallux OP ist sehr gut verlaufen. Nach einigen Wochen konnte ich die Füsse bereits wieder voll belasten und mittlerweile auch schmerzfrei joggen bzw. Tennis spielen.

Frau Zehetgruber schreibt auf docfinder

Voll zufrieden

Subjektiver Bericht von azecherl vom 26.04.2015

Ich fühlte mich nach einer missglückten Arthodese bei einem anderen Arzt , bei Prof. Vitek sofort richtig behandelt. Die neuerliche Operation verlief hervorragend und ich war bereits am nächsten Tag nach langer Zeit endlich wieder schmerzfrei und nach einigen Wochen wieder voll auf den Beinen . Ich kann diesen Arzt und sein Team nur weiterempfehlen. Herzlichen Dank A.Zehetgruber

Frau S.B. aus Kärnten schreibt per E-Mail

Vielen Dank, dass Sie meiner Mutter so wunderbar geholfen haben!


Sehr geehrter Herr Professor,

anbei sende ich Ihnen ein paar aktuelle Fotos.

Meiner Mutter geht es sehr gut, heute ist sie zum ersten Mal wieder selber Auto gefahren, wir freuen uns alle sehr über dieses tolle Endergebnis.

Sie verwendet eine Narbensalbe, und sie macht fleißig Dehnungsübungen.

Vielen Dank, dass Sie meiner Mutter so wunderbar geholfen haben!

Ganz liebe Grüße aus Kärnten, S.B.

Fotos der Patientin:

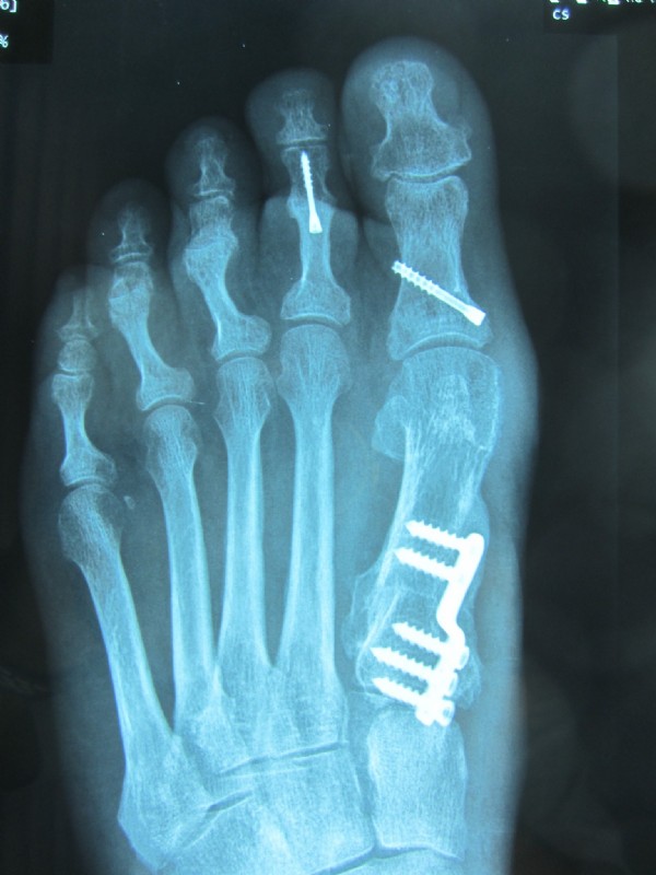
Der Fuß war bereits auswärtig voroperiert. Die Patientin leidet an entzündlichem Rheumatismus und hatte starke Schmerzen.

Knapp 2 Monate nach der ausgedehnten Korrektur aller Zehen und Mittelfußknochen zeigt sich eine schöne und schmale Fußform.

Herr Josef Wasser schreibt in einer Internetplattform

Nach Halux Operation beider Füße gleichzeitig schmerzfrei nach 24 Stunden

Ich kann Prof. Vitek nur das beste Zeugnis ausstelle. Nach meiner Halux-OP war ich am nächsten Tag schmerzfrei. Nach Enfernung der Nähte (2 Wochen nach der OP) ging ich wieder (schmerzfrei) mit normalen Schulen. All die Schauergeschichten, dass man nach einer Halux-OP Grad 4 auf beiden Füßen zur gleichen Zeit, mindestens 6 Wochen ausser Gefecht ist und nur mit Schmerzen gehen kann stimmten in meinem Fall nicht. Das lag sicher an der von Prof Vitek durchgeführten Operationstechnik. Ich kann nur jeden raten sich bei einer Haluxoperation an Prof Vitek zu wenden. Sollte ich wieder einen Facharzt für Orthopädie benötigen, wende ich mich sicher nur an Prof. Vitek. Seine Kompetenz, Freundlichkeit und Ehrlichkeit haben mich mehr als nur überzeugt. Er ist meiner Meinung nach, der absolut beste Arzt bei dem ich je war. Wenn sie mehr über meine Erfahrung wissen möchten rufen sie mich einfach an.

Josef Wasser

Herr Bernhard F. schreibt in einer Internetplattform

Kompetent, Fürsorglich

Ich kann hier meine mehrfache Zufriedenheit ausdrücken. Ich fühlte mich mit meinem orthopädischen Problem bei Professor Dr. Vitek richtig gut aufgehoben, betreut und behandelt. Er nimmt sich immer genug Zeit und erklärt anhand von detaillierten Bildern bzw. Schilderungen die genauen Vorgänge. Meine OP verlief sehr gut! Ich habe hohes Vertrauen in den Herrn Professor und in seinen gesamtes Team.

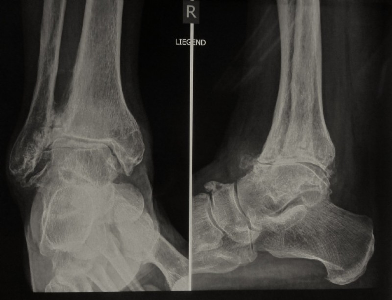
Frau M.M. schreibt per e-mail aus Budapest

Sehr geehrter Herr Professor Vitek,

anbei finden Sie bitte aktuelle Röntgenbilder meiner Füsse. Ich hoffe, die Qualität reicht für eine Beurteilung Ihrerseits aus. Meine Op. fand am 04. August statt, so sind etwas mehr als 6 Wochen seitdem vergangen. Meine Wunden sind vollkommen verheilt, ich habe keine Beschwerden, in weichen bequemen Schuhen kann ich schon ganz gut laufen. Am Sonntag, den 05. Oktober (also genau 2 Monate nach meiner Op.) veranstaltet mein Wanderverein eine Wanderung von 15 Km. Länge. Meinen Sie, ich bin schon in der Lage diese Wanderung mit zu machen? Ich bin sehr ehrgeizig, möchte aber nichts riskieren.Ich bedanke mich schon im voraus für Ihre Antwort.


Mit freundlichen Grüssen aus Budapest

M.M.

Patientenstimmen auf einer Internet-Plattform

Hallux-op meiner 14jährigen tochter

die tägliche plage von schmerzen in schuhen beim gehen, verstärkt vom aussehen der füsse, bewegten meine damals 13jährige tochter und mich ein öffentliches krankenhaus mit sehr guten referenzen auszusuchen, um hilfe und rat zu holen. rat war da und auch das verständnis, dass bei einem so jungen mädchen solche füsse mit extrem halux nicht gerarde alltäglich sind. verordnet wurden schienen, die meine tochter in der nacht tragen sollte. ausser schmerzen, gab es keinen erfolg. schlussendlich gelangten wir über eine empfehlung prof. dr. vitek, der insbesondere darauf achtete,dass die wachstumfugen geschlossen waren. nach einem überaus kompetenten beratungsgespräch hinsichtlich der operationsmethode und dem ganzen drum herum, beschloss meine tochter, sich in die hände von prof. dr. vitek zu begeben. es war für eine 14jährige nicht einfach, genausowenig wie für mich. die operation erfolgte mehr als professionell, die bereutung davor und insbesondere jene danach ist einfach unbeschreiblich gut. dafür ein großes dankeschön an das team von prof. dr. vitek :-) meine tochter und auch ich als vater können diesen wunderbaren arzt einfach jeden empfehlen! DANKE prof. dr. vitek!!

siegfried krische

Endlich schmerzfrei

Prof. Dr. Vitek hat mich von einem jahrelangen Hallux-Leiden befreit! Nach mehreren Operationen von verschiedenen Orthopäden wurde mir beschieden, jetzt könne man gar nichts mehr machen, meine Schmerzen aber sind geblieben. Zu meinem großen Glück stieß ich im Internet auf die Seite von Prof. Vitek und - beeindruckt von seinen vorgestellten modernen Methoden- suchte ich bei ihm Rat und Hilfe und fand beides: er hat meine rechte Großzehe versteift, d.h. das Großzehengrundgelenk wurde mit einer Platte fixiert und mit Schrauben stabilisiert. Die OP verlief völlig problemlos und ich hatte auch danach kaum Schmerzen! Nach 7 Wochen Fortbewegung mit einem orthopädischen Stützschuh (um das Zusammenwachsen der Knochen zu ermöglichen) kam der große Augenblick: ich durfte in normalen Schuhen beide Füße gleichermaßen belasten und ich kann nun tatsächlich ganz normal gehen, auch in die Hocke gehen und bald auch laufen - und das völlig ohne Schmerzen und ohne das Gefühl, durch eine versteifte Zehe beeinträchtigt zu sein. Ich bin Prof. Vitek sehr dankbar und kann ihn allen, die an Hallux valgus leiden, wärmstens empfehlen!

Liselotte Rehwald

Ein ausgezeichneter Fußspezialist!

Endlich hat mein jahrelanger Leidensweg (Hallux valgus) ein Ende! Leider erblich bedingt trat bereits in frühen Jahren bei mir eine Fehlstellung der großen Zehen auf. Als es rechts schon unerträglich wurde - und mir überhaupt keine Schuhe mehr passten, entschloss ich mich zu einer Operation in einem Spital. Leider war ich mir dem Ergebnis überhaupt nicht zufrieden! Schmerzfrei wurde ich nie und nach einem halben Jahr kam sogar die Fehlstellung wieder zurück! Vollkommen verzweifelt fand ich im Internet zum Glück die Seite www.halluxvalgus.at von Prof. Vitek. Er schickte mich gleich zum Röntgen und bot mir eine Korrektur der bereits operierten Zehe an. Endlich war das Ergebnis wie gewünscht!! Ein halbes Jahr später ließ ich mir den zweiten Fuß von Dr. Vitek operieren - ebenfalls perfekt. Das ganze ist jetzt schon fast 2 Jahre her und ich bin vollkommen schmerzfrei, kann jeden Schuh tragen und endlich wieder laufen und Bergsteigen! Ich kann jedem nur empfehlen, gleich zu Prof. Vitek zu gehen!

Halluxpatient

Diabetische Fußwunde

Jahrelang quälte mich eine diabetische Wunde auf der Fusssohle.Ich pendelte entnervt zwischen diversen Ärzten. Dann kam ich in die Ordination von Prof.Dr.Vitek: Er bekam die Wunde durch einen Entlastungsschuh vom Bandagisten (wohlgemerkt nicht orth.Schuster) in kurzer Zeit weg. Vielen,vielen Dank!

Hr. Lemmiz

Beratung wegen Fußgelenk

Vielen Dank für die kompetente und zuvorkommende Behandlung in meinem schwierigen Fall. Konnte durch Ihre einfühlsame Beratung die richtigen Entscheidungen treffen, fühle mich bestens aufgehoben und habe grosses Vertrauen zu Ihnen gewonnen. Ihre Hilfe hat wesentlich zu meiner Gesundung beigetragen! Nochmals vielen Dank! MMag. M.M. Jost

Die "Neuen Füße"

Frau Niederschick schreibt mir per E-Mail

Sehr geehrter Herr Prim. Vitek!

Ich bin noch immer so glücklich über meine "neuen" Füße!

Danke!

mfg

Ingrid Niederschick

Foto der Patientin:

Patientin im Urlaub

Die Füße haben wir 2010 in zwei aufwendigen Operationen wiederhergestellt.

Durch mehrfache auswärtige Voroperationen waren die Zehen massiv vekürzt worden und standen teilweise übereinander. Die Vorgeschichte finden Sie weiter unten in einem früheren E-Mail und auch bei: Operationen > Vorfuß > Zehenverlängerung > 6 Operationen

Mrs. Paola Cairo schreibt per E-Mail aus Italien:

Madam, Mister,

I'm Paola and I was surgery by Dr. Vitek in 2009 and all is very good.

For many friends of mine, I would know if Dr. Vitek works also in Italy or in Luxembourg.

Thanks a lot for your reply

Best regards

Paola


--
Paola Cairo
journaliste

Jetzt macht das Leben wieder Freude. Danke.

Frau Berghild Siedl hat die Röntgenbilder ihres Fußes in eine Winterlandschaft kopiert und als Postkarte geschickt.

Fotos der Patientin:

Ansicht des linkes Fußes vor und nach der Operation. Bitte beachten Sie auch die sehr schön korrigierte 2. Zehe!

Das Röntgenbild zeigt die Korrektur des linken Fußes mit Basisosteotomie und Korrektur der Hammerzehe an der 2. Zehe.

Eigenkomponiertes Sektlabel

Frau G.F.K hat sich die Mühe gemacht, ein Sektflaschenlabel zu entwerfen:

Neben Röntgenbildern ihrer Füße vor und nach der OP hat sie auch ein Bild von mir eingebaut.

Der Text lautete:

Sehr geehrter Herr Prim. Prof. Dr. Michael Vitek ein großes Dankeschön für die fachlich kompetente und auch mitfühlende "Restauration" meiner beiden Füße.

Herzlichst Ihre G.F.K

Entenfüßling ist nicht mehr

Frau M.J. schreibt:

Entenfüßling ist nicht mehr.

Mit einem aufrichtigen Dankeschön für das von Ihnen an meinen Füßen vollbrachte Kunstwerk.

......für die freundliche und kompetente Unterstützung am Telefon.

Die Füße von Frau M.J. links vor der OP und rechts nach der OP.

Frau Maria Hintermayer schreibt

Ich bin ein "gebranntes Kind" einer Hallux-Operation und der daraus resultierenden, stark ausgeprägten Deformierung des Fußes.Dann hatte ich in meiner Verzweiflung das Glück, in die Hände von Herrn Prof. Dr. Vitek zu kommen, der auf diesem Gebiet sehr kompetent ist. Nach einer überaus genauen und umfassenden Vorbesprechung wurde die Operation präzise und schmerzfrei durchgeführt. Auch danach hatte ich überhaupt keine Probleme. Nun sind bereits 4 Wochen vergangen und ich trage bereits normale Schuhe. Ich bin sehr, sehr glücklich!!

Bild links: Frau Maria Hintermayers Fuß nach einer anderswo schwer mißlungenen Vorfußoperation.

Bild Mitte: 4 Wochen nach unserer Reparaturoperation sind bereits normale Schuhe möglich.

Bild rechts: Nach 3 Monaten voll funktionstüchtiger und schöner Fuß, hohe Absätze können getragen werden.

Herr Karl H. sagt: "Was haben Sie mit mir gemacht?"

Herr Karl H. stürmt schnellen Schrittes in die Ordination. Vor 6 Monaten haben wir ihm eine zementfreie Endoprothese des Sprunggelenkes (künstliches Sprunggelenk) eingesetzt, nachdem eine massive Arthrose (Gelenkzerstörung durch Abnützung nach Trümmerbruch) das Gehen zunehmend schmerzhaft und beschwerlich gemacht hatte.

Herr H. sagt:

"Was haben Sie mit mir gemacht? Ein Wahnsinn! Die Physiotherapeuten und alle anderen auf der Kur waren von meiner Operation begeistert. Sowas haben sie noch nicht gesehen, wie schnell ich wieder gehen konnte und wie problemlos ich mein Gelenk wieder bewegen kann. Und das noch dazu bei den Zerstörungen, die ich vorher hatte! Unglaublich, ich bin begeistert. Es ist herrlich, wieder schmerzfrei gehen zu können."

Fotos des Patienten:

Schwere Zerstörung des Sprunggelenkes mit komplettem Verschleiß der Gleitschicht (Knorpel) und massiven Auflagerungen aus Knochen in Form von Leisten und Spornen. Entrundung und Teilverrenkung des Sprungbeines. Keine Beweglichkeit mehr im oberen Sprunggelenk und starke Ruhe- und Belastungsschmerzen.

Die Gleitflächen durch eine Endoprothese ersetzt.

Fast freie und seitengleiche Beweglichkeit des oberen Sprunggelenkes 6 Monate nach der Operation. Völlig normales Gehen ist schon seit 3 Monaten möglich.

VIDEO: Sehen Sie hier das flüssige, harmonische Gangbild des Patienten mit Sprunggelenkendoprothese:

Frau Ingrid Niederschick schreibt per E-Mail aus Salzburg

Sehr geehrter Hr. Dr. Vitek!

Vor gut 2 Jahren war ich bei Ihnen in den besten Händen (Hallux OP - beide Füße)! Vielen Dank nochmals! Ich kann endlich offene Schuhe tragen und bin sehr glücklich!

Jetzt wende ich mich mit einem anderen Problem an Sie:

Ich habe sehr große Schmerzen im Bereich der HWS rechts und am rechten Schlüsselbein eine "Art Überbein". Ultraschall und MR wurden durchgeführt, etliche Physiotherapie-Termine habe ich hinter mir ...

An wen soll ich mich wenden? Haben Sie einen Rat für mich?

Mit freundlichen Grüßen

Ingrid Niederschick

Fotos der Patientin:

Die Füße von Frau Niederschick wurden anderswo mehrfach erfolglos operiert.

Die Voroperationen führten zu fast grotesken Zehendeformitäten mit massiven Verkürzungen und Abweichungen und einer "funktionellen Amputation" der II und III Zehe.

Nach Geradestellung der Großzehen, Verlängerung und Geradestellung der II und III Zehen und Verkürzung und Geradestellung der IV Zehe ist das Ergebnis dauerhaft kosmetisch und funktionell zur Zufriedenheit der Patientin.

Frau Brigitta Roenig aus Wien schreibt per E-Mail:

Lieber Herr Dr. Vitek,

habe heute mit einer Freundin über die Hallux-OP gesprochen und in diesem Zusammenhang auch auf Ihre HP geschaut. Freue mich sehr, dass das Ordi-Video von mir noch immer da ist :)

Mir geht’s Hallux-mäßig – und auch sonst – nach wie vor super! Die Füße haben sich nicht wieder verändert, es tut nie was weh und ich kann alle tollen High-heels tragen! Bin Ihnen ja ewig dankbar

Ganz liebe Grüße,

Brigitta Roenig

Ihren Hallux valgus an beiden Füßen habe ich vor über 4 Jahren in einer Sitzung operiert.

Endlich schmerzfrei Wandern

Frau I.G. aus Laa an der Thaya hatte einen massiv durchgetretenen Spreizfuß und konnte kaum noch gehen - unabhängig davon, welche Schuhe sie verwendete. An das geliebte Wandern war nicht zu denken:

Die Abweichung der Großzehe störte nicht so sehr, wie die schmerzhafte Schwiele mit Geschwür an der Fußsohle.

Wir haben den Vorfuß korrigiert, die Zehen in eine Reihe gebracht und den durchgetretenen Spreizfuß entlastet. Die Schwiele und das Geschwür sind nach der Operation verschwunden und nicht wieder gekommen.

Frau I.G. bedankt sich mit einer Ansichtskarte aus den Lienzer Dolomiten, wo sie 6 Monate nach der Operation einen Wanderurlaub verbrachte.

Sie schreibt:


Lieber Herr Professor!

Es ist eine Wohltat, wieder schmerzfrei wandern zu können. Danke! Herzliche Urlaubsgrüße!

I.G. aus Laa/Thaya

Operiert am 8. Januar 2013

Dr. Michael Vitek