Hallux valgus bei Jugendlichen

Über die Operation

Für die sehr beweglichen Füße von Kindern und Jugendlichen ist seit den 1930er Jahren eine Operation bekannt, die von McBride beschrieben wurde, bei der das Gelenk erhalten bleibt, und am 1. Mittelknochen auch kein Knochenschnitt notwendig ist. Die Sehne des so genannten Adduktor-Muskels, der die Großzehe in die Fehlstellung zieht, wird versetzt, um jetzt im Gegenteil den abgespreizten 1. Mittelfußknochen zur Fußmitte zu ziehen. 

Eine sehr elegante und vor allem Gewebe schonende Methode. Die Schwachstelle der Operation, nämlich die Befestigung der Sehne am 1. Mittelfußknochen, wurde von Michael Vitek verbessert, indem nunmehr im Mittelfußköpfchen ein Knochenkanal gebildet wird. In den Knochenkanal wird die Sehne anschließend eingezogen und stabil mit einer von uns entwickelten Titanschraube befestigt.

Wichtig ist: Bei dieser Operation werden an den Gelenken und Wachstumszonen keine Schnitte durchgeführt. So kann der jugendliche Fuß keinen Schaden nehmen und das weitere Wachstum wird durch die Operation nicht gestört.

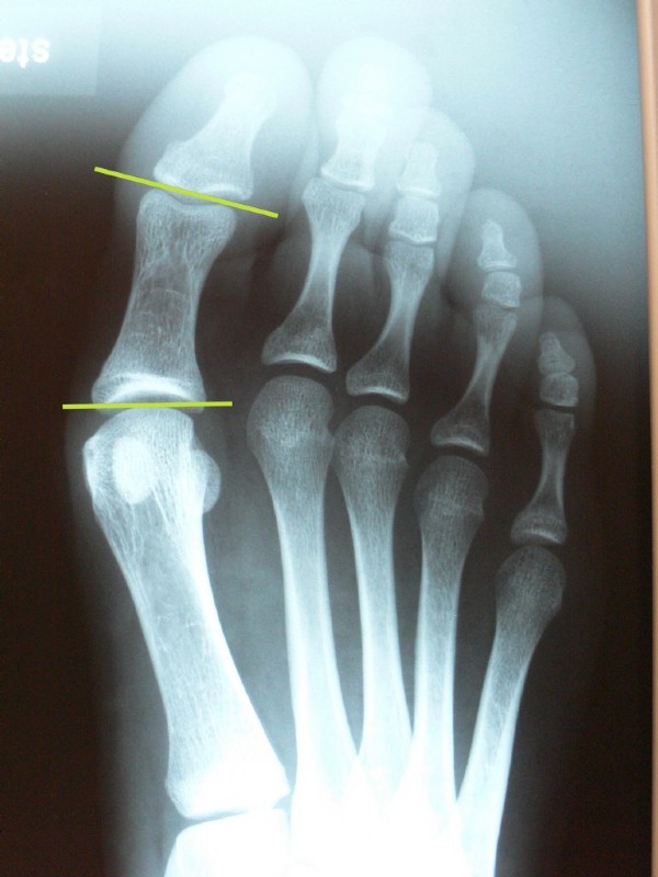
Anhand von Bildern

Nach der Korrektur stehen die Zehengelenke parallel (horizontale grüne Striche), das "Überbein" ist weg, der 1. Mittelfußknochen ist dem 2. angenähert und der Fuß wird schmäler.

Am 1. Mittelfußknochen ist unsere "Interferenzschraube" zu sehen, die die versetzte Adduktorsehne befestigt.


Die Zehe selbst ist durch eine Operation nach Akin gerade gestellt. Von Michael Vitek wurde dazu eine Sägelehre entwickelt, mit der sehr präzise Knochenschnitte möglich werden. Die voll versenkbare Schraube ist ebenfalls eine eigene Neuentwicklung. Sie ermöglicht durch eine dynamische Kompression eine raschere Knochenheilung.

So werden nur die jugendlichen oder die ganz milden Hallux-Fehlstellungen behandelt.

Für die alle anderen, also für über 90 % aller Hallux-Fehlstellungen, kommen bei uns neuartige, so genannte intramedulläre Verriegelungsplatten zum Einsatz. Dies ist ein völlig neuer Ansatz der Hallux-Chirurgie, allerdings schon weltweit tausendfach erprobt, der eine vollständige Korrektur aller Fehlstellungen bei sofortiger Vollbelastung erlaubt, da die Platte (wie ein Marknagel in der Unfallchirurgie) im Knocheninneren sitzt und jede erdenkliche Korrektur erlaubt. Die Kräfte werden dort aufgenommen, wo sie auftreten, nämlich im Zentrum der Knochenachse, und nicht außen, wie dies bei allen anderen Fixationssystemen der Fall ist.

Dr. Michael Vitek