Hallux limitus & Hallux Rigidus

Steife Großzehe - Arthrose des Großzehen-Grundgelenkes - Abnützung des Großzehen-Gelenkes

Hier stört nicht so sehr die Fehlstellung, die zusätzlich mehr oder weniger ausgeprägt sein kann, sondern die Abnützung oder sogar Zerstörung des Grundgelenkes der großen Zehe, die zu zunehmenden Schmerzen führt und das Abrollen beim Gehen stört oder sogar unmöglich macht.

Die Patientinnen und Patienten wundern sich oft, da ihr Fuß von außen völlig normal aussieht und die Großzehe keinerlei Abweichung zeigt. Allerdings bestehen oft sehr starke Schmerzen beim Gehen und sogar in Ruhe. Wir sehen häufig solche "normal" aussehende Füße, deren Träger aber unter heftigen Schmerzen leiden. Das ist typisch für den so genannten Hallux rigidus, also die zunehmende Zerstörung des Großzehen-Grundgelenkes durch die Arthrose (Gelenkabnützung) oder durch Arthritis (Rheuma).

Wir unterscheiden 4 Stadien, die den Grad der Abnützung im Röntgen wiedergeben

  • Im Stadium I bieten wir eine konservative Behandlung an: Spezielle Schuheinlagen, Heilgymnastik und physikalische Therapie.
  • In den Stadien II und eventuell III kann eine Gelenk erhaltende Operation durchgeführt werden: Dabei werden die Osteophyten (Knochensporne) abgetragen (Cheilektomie), und eventuell wird das 1. Mittelfußköpfchen bodenwärts gesetzt (mit einem Knochenschnitt).

Gelenk erhaltende Operation

Zunächst ein Beispiel für die Cheilektomie in Verbindung mit einer Verbesserung der Zehenstellung. Dabei wird die Großzehe gerade gestellt und auch etwas aufgestellt, damit besser abgerollt werden kann (Operation nach Akin und Moberg)

Hallux rigidus

Eine Patientin mit Hallux rigidus, sie hat Schmerzen in beiden Großzehengrundgelenken. Ein normales Abrollen ist nicht mehr möglich. Fehlstellung und Schmerzen auch in beiden 2. Zehen, an den Endgelenken massive Fehlstellung nach außen, die durch den Hallux mit verursacht ist.

Die Patientin möchte unbedingt nach der Operation wieder hohe Absätze tragen. Ich versuche, sie davon abzubringen.

Im Röntgen: Schwerer Hallux rigidus Stadium 3 beidseits und Fehlstellung der Großzehen nach außen, sowie beiden 2. Zehen an den Endgliedern.

Sehr schlechte Beweglichkeit im deformierten und aufgetriebenen Großzehengrundgelenk. Schmerzen beim normalen Gehen, Abrollen über die Großzehe ist nicht mehr möglich, sondern es sind Ausweichbewegungen über den Fußaußenrand notwendig, die zu Knie-, Hüft- und Rückenschmerzen führen können.

Die Großzehen und die 2. Zehen wurden auf beiden Seiten gerade gestellt und die Großzehen zusätzlich sehr gut beweglich gemacht, indem die abgelagerten Knochensporne und Knochenlippen sehr großzügig entfernt und die Großzehen etwas aufgestellt wurden.

Hier wird die ausgezeichnete Beweglichkeit unmittelbar nach OP-Ende demonstriert.

Füße nach Operation

Das ist keine Fotomontage!

Bereits nach einer Woche, mit noch liegenden Nähten, steht die Dame auf den Zehenspitzen, hat keine Schwellungen und Schmerzen, und trägt – entgegen meiner Empfehlung – normales Schuhwerk.

Nach kurzer Zeit trug sie wieder ihre High Heels. Auch das ist nicht meine Empfehlung - war aber möglich.

Ich habe diese Dame nach Jahren wegen eines anderen Problems gesehen, die Zehen waren noch immer in Ordnung und schmerzfrei.

Gelenk versteifende Operation

Die Arthrose im Großzehengrundgelenk im Stadium III behandeln wir entweder noch mit der Cheilektomie (siehe oben) oder mit einer sukapitalen Osteotomie (Knochenschnitt und Versetzung des Mittelfußköpfchen bodenwärts um die Krafteinleitung zu verbessern). Manchmal ist die Versteifung des Gelenks die beste Wahl.

Der Hallux rigidus im Stadium IV wird immer mit der Versteifung (Arthrodese) behandelt.

"Gelenk versteifend" klingt immer ganz furchtbar. Wenn ich den Patienten aber erkläre, dass damit die Schmerzen dauerhaft verschwinden und dass sowohl die Kosmetik als auch die Funktion wieder hergestellt werden, hellt sich die Miene fast immer wieder auf. Die Patienten können nach der Operation fast alle Sportarten betreiben und die meisten Schuhe tragen.

Hier die Vorteile auf einen Blick:

  • Schmerzfreiheit
  • Normales Gehen möglich
  • Dauerlösung
  • Für Laufen und andere Sportarten gut geeignet

Die Nachteile sind:

  • Balett, Sportklettern und Sportarten, bei denen die Großzehe gekrallt werden muss, werden eventuell schwierig
  • Schuhe mit hohen Absätzen sind nicht möglich

Leider hat man aber therapeutisch bei schmerzhaftem Hallux rigidus im Stadium IV wenig Alternativen mit Aussicht auf Erfolg.

Die Alternativen:

Beispiele:

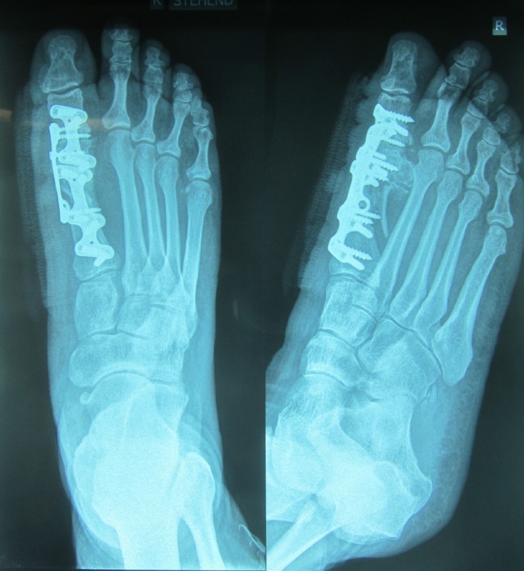
Hier ein Beispiel einer Versteifung mit oben am Knochen liegender Platte und einer Längsschraube zur weiteren Stabilisierung.

Versteifung
  • 1. Alternative
    Operation nach Keller-Brandes: Entfernung des Gelenkes mitsamt der Basis des Grundgliedes. Nachteile: Kurze große Zehe. Ergebnisse sind nicht vorhersehbar.
  • 2. Alternative
    Künstliches Großzehengelenk. Nachteile: Hält nicht lange. Wechseloperation kaum möglich. Lösung ist wieder die Versteifung, die dann allerdings deutlich schwieriger wird.
  • 3. Alternative
    Operation nach Valenti. Das ist ein modifizierter Brandes. Das Gelenk wird zwar entfernt aber die kurzen Beuger werden erhalten, daher bleibt in der Regel die Position der Zehe gut und auch der Bodenkontakt geht nicht verloren. Die Zehe wird fast nicht verkürzt, die Beweglichkeit ist meist gut. Die Ergebnisse sind meist sehr gut, können aber nicht immer vorhergesagt werden.

Das Gelenk wurde vom Restknorpel und von verdickten Knochenanteilen (Arthrosefolge) befreit und die Gelenkpartner in die Funktionsstellung gebracht, also der 2. Zehe parallel gestellt und etwa 15 Grad (bei Männern) bis 20 Grad (bei Frauen) gestreckt (aufgestellt). Damit kann man nach Abheilung einwandfrei gehen. 

Unmittelbar nach der Operation ist das Gehen mit dem Entlastungsschuh (für 6 bis 8 Wochen) gut möglich. Häufig kann die Platte belassen werden, manchmal stört sie, dann wird das Metall in einem zweiten kleinen Eingriff entfernt.

Unten sehen Sie eine zartere Platte, die wir jetzt zum Einsatz bringen:

Die modernen Platten sind sehr zart und doch fest. Zur "Aufbiegestabilisierung" wird auch hier eine Längsschraube fußsohlennahe eingeschraubt. Dadurch entsteht eine Rahmenkonstruktion.

Der Pfeil zeigt die Stelle, an der früher das erkrankte (durch Arthrose zerstörte) Gelenk war. Statt dessen befindet sich dort jetzt nach Abheilung fester Knochen. Das Gelenk ist also steif und das OP-Ziel wurde erreicht. Der Fuß kann nun völlig schmerzfrei abgerollt und voll belastet werden.

Der Fuß zeigt nach der Operation eine schöne und schmale Form.

Funktion und Kosmetik sind sehr zufriedenstellend - vor allem aber sind die Schmerzen weg.

Beispiele von Reparaturen nach anderswo versuchten Korrekturen des Hallux rigidus

Erster Fall:

Hier ein Beispiel eines fehlgeschlagenen Gelenkersatzes am Großzehengrundgelenk: Die Prothesen sind zwar fest, aber die Patientin hat massive Schmerzen bei jedem Schritt. Die Zehe zeigt nur Wackelbewegungen. Das Gelenk ist stark entzündet.

Die Lösung war sehr aufwendig: Durch die Entfernung der Prothese ist ein Knochenverlust von 12 mm entstanden. Das würde bei Versteifung ohne Verlängerung eine kurze und funktionslose Stummelzehe bedeuten, ganz abgesehen von der Optik. Wir führten daher eine Verlängerung und Versteifung durch (Verlängerungsarthrodese).

Zweiter Fall:

Zustand nach Operation nach Brandes: Nach kurzer Zeit stellten sich wieder Schmerzen und Abrollbehinderung ein, sodass eine Versteifung notwendig wurde. Da aber Knochen bei der Erstoperation entfernt wurde, musste aus der Ferse Knochen entnommen und in die Versteifung transplantiert werden. Die Fixation erfolgte mit einer langen Platte.

Dr. Michael Vitek