Achillessehne

Die Achillessehne ist die größte Sehne des Menschen.

Auf sie wirken enorme Kräfte, die vom Unterschenkel bzw. vom ganzen Körper auf den Fuß übertragen werden. Zur Kräftepotenzierung kommt es beim plötzlichen Weglaufen oder beim Springen. Auf Grund dieser exponierten Situation kommt es relativ häufig zu Verletzungen der Achillessehne und zu akuten und chronischen Erkrankungen der Sehne und ihres Ansatzes am Fersenbein.

Achillessehnen-Verletzungen

Verletzungen der Achillessehne können Zerrungen oder - in schlimmen Fällen - Risse sein. Zerrungen bedürfen in der Regel keiner Behandlung, Risse müssen operativ versorgt werden. Die beste Prognose haben frische, nicht vollständige Risse, die zeitnah versorgt werden.

Veraltete komplette Risse, bei denen sich die Sehnenenden schon zurückziehen, können manchmal erhebliche Probleme bereiten, zumal diese Verletzungen aus degenerativen Zuständen resultieren, bei denen die Achillesehne schon vorgeschädigt war. Die Achillesehne ist dann verdickt, Fettgewebe ist eingelagert und die Qualität der Sehnenfasern nimmt ab. Solche Sehnen reißen wesentlich leichter als gesunde. Die Enden der Sehne sind dann schon stark zerfranst und aufgefasert.

Um die Defektstrecke zu überbrücken, muss man entweder Kunstsehnen einsetzen oder einen Teil der gesunden, verbleibenden Achillessehne herunterklappen und so den Defekt überbrücken. Beide Methoden verlangen eine relativ lange Ruhigstellung von 8 bis 12 Wochen.

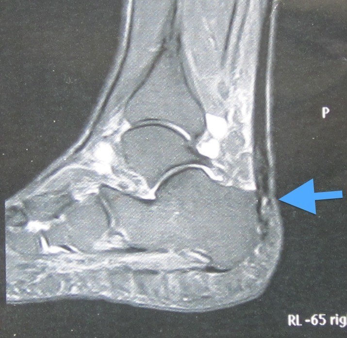
Beispiel:

Eine Patientin mit lang dauernden Fersenschmerzen und zunehmender Gangbehinderung trotz konservativer Behandung. Bei näheren Untersuchungen stellte sich eine chronische Ruptur der Achillessehe heraus.

Im Röntgen und in der MRT sieht man, dass ein Knochenstück mit abgerissen ist. Die Ursache war ein oberer Fersensporn, der abbrach. Die andernorts durchgeführte konservative Behandlung wurde von uns sofort eingestellt und die Patientin operiert:

Links: Mehr als die Hälfte der Achillessehne ist mitsamt dem oberen Fersensporn abgerissen - Pfeil.

Mitte: Es wird nun eine so genannte Umkehrplastik gebildet. Ein Stück der Sehne wird nach unten geklappt und mit dem Sehnenrest vernäht, zusätzlich kommt ein Knochenanker aus Kunststoff zum Einsatz. Der Anker wird ins Fersenbein eingeschraubt und an seinen Fäden wird die Achillessehne zusätzlich befestigt.

Rechts: Die fertige Konstruktion, sie sieht aus wie eine unversehrte Achillessehne.

Achillessehnen-Erkrankungen

Zum Beispiel: Achillessehnen-Entzündung, Entzündung der Sehnenhüllen, Achillodynie

Diese Erkrankung kommt häufig bei Grundkrankheiten wie Gicht, Diabetes und Fettstoffwechselstörungen, bei Überlastung durch übermäßige Aktivität oder Übergewicht und bei lokalen Durchblutungsstörungen vor und kann die Sehne selbst (Tendinitis, Nekrose), die Gleitgewebe, also die Hüllen (Paratenonitis) oder den Sehnenansatz (Insertionstendopathie) betreffen.

Die Beschwerden äußern sich in Form von Schmerzen und einer typischen Verdickung etwa 6 cm oberhalb der Ferse. Die Umgebungshüllen der Achillessehne entzünden sich und später degenerieren die Sehnenfasern selbst. Relativ häufig besteht zusätzlich das so genannte hohe Fersenbein (siehe dort).

Behandlungsdomäne dieser Erkrankungen ist die konservative Therapie mit einer Fülle von Möglichkeiten:

  • Dehnungsübungen
  • Cortisonfreie Infiltration
  • Physikalische Maßnahmen
  • Medikamente
  • Schuhzurichtungen

Spezielle Einlagen sind hier sehr wirksam.

Sollten diese Behandlungen fehlschlagen, entschließt man sich nach einer Behandlungsdauer von etwa drei Monaten (Sehnenrisse ausgenommen) zur Operation. Längeres Zuwarten würde die Schäden an der Sehne größer werden lassen und damit die Prognose verschlechtern.

Behandlungsprinzip

Falls die konservative Therapie nicht hilft, kommt eine Operation zum Einsatz, bei der die Nekrosen (abgestorbene Sehnenanteile) und Entzündungen chirurgisch aus der Sehne entfernt werden. Diese OP nennt man combing, also "Kämmen", weil die Entzündungen tatsächlich aus der Sehne herausgekämmt, also mittels kleiner paralleler Schnitte ohne Substanzverletzung entfernt werden. Die gesunden Sehnenfasern werden dabei nicht verletzt, und wenn noch genug Fasern vorhanden sind, muss nach der Operation nicht ruhig gestellt werden.

Bestehen allerdings Knoten und Defekte (Nekrosen) in der Sehne selbst, werden sie ebenso wie entzündlich verändertes Gleitgewebe entfernt. Kommt es dabei zu größeren Substanzdefiziten in der Sehne, müssen Verstärkungsmaßnahmen, wie eine Durchflechtung mit der Sehne des Plantarismuskels, vorgenommen werden. Das ist eine dünne Sehne, die parallel mit der Achillessehne verläuft. Eine Verstärkung bei großen Defekten oder gar Überbrückung bei totalem Substanzverlust wird mit Transplantaten gemacht, die aus der Achillessehne selbst entnommen werden. Manchmal muss sogar eine Kunststoffsehne eingesetzt werden.

Im Ansatzbereich der Sehne an der Ferse entwickelt sich manchmal eine Verknöcherung (oberer Fersensporn), die zu Schmerzen und Entzündungen führt und entfernt werden muss.

Nachbehandlung

Werden nur Gleitgewebe oder Schleimbeutel entfernt, erfolgt die Nachbehandlung gipsfrei, baldige Heilgymnastik ist notwendig, um ein neuerliches Verkleben zu verhindern. Auch nach einem "combing" muss nicht ruhig gestellt werden, wenn genug Sehnenfasern vorhanden sind.

Musste bei der Operation aber mehr oder weniger Achillessehnensubstanz entfernt werden, wird ein Unterschenkelgipsverband für drei bis sechs Wochen angelegt. Bei großen Defekten oder kompletten Rissen, die eine totale Achillessehnenrekonstruktion erfordern, muss mit einem Gipsverband für 8 bis 12 Wochen gerechnet werden.

Arbeitsfähigkeit

Büroarbeiten können nach etwa zwei Wochen mit Gipsverband wieder aufgenommen werden, schwere körperliche Arbeit kann je nach Ausdehnung der Operation erst nach zwei bis vier Monaten durchgeführt werden.

Sportfähigkeit

Generell nach sechs Monaten, nur bei sehr wenig Substanzdefekt auch früher. Dieser Punkt sollte unbedingt mit uns besprochen werden.

Ergebnisse

In über 90 % der Fälle lässt sich Schmerzfreiheit oder zumindest eine deutliche Verbesserung bei guter Funktion und Sportfähigkeit erzielen.

Komplikationen

Infektion unter 2 Prozent, selten Wundheilungsstörungen oder Thrombosen.

Links: Eine chronische Schwellung der Achillessehne, Achillodynie

Rechts: Diese Achillessehnenentzündung ist hochakut. Sie ist nach einer langen Wanderung aufgetreten, man sieht noch die Scheuerstellen vom Wanderschuh an der Ferse.

Achillessehnenverknöcherung

Durch ständige Reibung der Achillessehne an einem hohen Fersenbein, insbesondere wenn es so spitz ist wie im unten angeführten Beispiel, kommt es zu ständigen Mikrorissen und Einblutungen. Manchmal reißt die Sehne teilweise oder vollständig (siehe auch Kapitel "Hohes Fersenbein"). Manchmal kommt es als Bioreparatur zum Wachstum von Knochen in der Achillessehne, da Blut eine multipotente Flüssigkeit ist, aus der sich fast alle anderen Gewebe entwickeln können.

Behandlung

Die Verknöcherungen müssen entfernt werden und die spitze obere Fersenbeinecke muss begradigt werden. Danach zeigt sich wie viel Gewebe der Achillessehne mit entfernt werden musste. Die Rekonstruktion erfolgt dann entweder mit eigenem Gewebe oder mit einem Kunststoffband - wenn zuviel Sehnengewebe entfernt werden musste.

Nachbehandlung

Gipsverband für 6 bis 12 Wochen - je nach Rekonstruktionsart und Umfang.

Rückkehr zur Arbeit und zum Sport

Nach Gipsabnahme wird intensive Heilgymnastik für etwa 3 Monate absolviert. Schwere Arbeit und Laufsport sind etwa nach 5 bis 6 Monaten nach der OP möglich.

Beispiel

Links: Achillessehnenverknöcherung (oberer roter Pfeil) und spitzes hohes Fersenbein (gelber Pfeil). Zusätzlich unterer Fersensporn (unterer roter Pfeil)

Mitte: Nach Entfernung der Verknöcherungen (blauer Pfeil) und des hohen Fersenbeines (gelber Pfeil)

Rechts: Rekonstruktion des Ansatzes der Achillessehne am Fersenbein mit einem Kunststoffband (Larsband), das durch einen Knochenkanal im Fersenbein geleitet (blauer Pfeil) und dann mit sich selbst und mit der Achillessehne vernäht wird (grüner Pfeil)

Dr. Michael Vitek