Dorsal foot exostosis

Röntgenaufnahme Fußgeschwulst

The foot arch hump or dorsal foot exostosis is not a ganglion but an osteoarthritis (wear) of the midfoot joints, as a result from overloading of the midfoot. 

Marginal ridges form resulting from wear and tear and sometimes a synovial bursa on top so as to prevent the pressure of the shoe acting directly on the bone. The ridge and synovial bursa is the foot arch hump.

The foot arch hump or dorsal foot growth osteoarthritis (wear and tear) of the joint between the inner sphenoid and the first metatarsal (TMT joint I).

Treatment

At first, conservative treatment with shoe insoles and possibly shoe adjustments is applied. If the symptoms persist, the protruding bone parts and the bursa are surgically removed. For some time now, we have also been making this correction minimally invasive, i.e. with 2 or 3 tiny stitches of about 2 mm each.

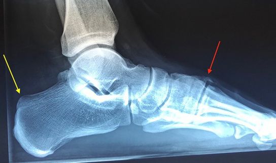
Before: The red arrow shows the arch of the foot. Additionally, the patient had a high heel bone (yellow arrow).

After: The hump of the back of the foot was straightened through the keyhole (percutaneously) and is now no longer disturbing (red arrow). The high heel bone was also removed in the same way (yellow arrow).

Subsequent treatment

Walking can begin the day after the operation in a special shoe. After the wounds heal and the swelling goes down customized insoles should be made to support the arch of the foot.

In case surgery has been performed on bilaterally, forearm crutches can be used for two weeks for support.

Ability to work

Despite the relatively small intervention office workers should resume work only after one to two weeks. Heavy physical activity should be resumed only after three to five weeks.

Sports activities

Sports which put pressure on the foot can only be resumed at the earliest after six to eight weeks.

Results

In over 90 percent of cases symptoms disappear completely or at least a significant improvement is achieved. If the osteoarthritis pain persists then the TMT I joint must be stiffened, though this is a rare occurrence.

Complications

Swellings sometime take 2-3 months to subside, so that only soft footwear can be worn.

Impairment of wound healing and infection can occur in about 2 percent of cases, which however has never occurred amongst our patients up until now.

Dr. Michael Vitek